QUEMODECTOMAS
Los Quemodectomas o Tumores del cuerpo carotideo, también llamados paragangliomas, son tumores de origen neuroectodérmico que aparecen en la bifurcación carotidea (también pueden aparecer en otras zonas del cuello, arco aórtico o mediastino).
En su evolución tienden a envolver las estructuras vasculares y nerviosas vecinas y sólo se malignidad en el 5% de los casos.
Su diagnóstico generalmente se realiza por la aparición de una masa lateral en el cuello
que a veces transmite el pulso de la arteria contigua. Mediante ECODOPPLER
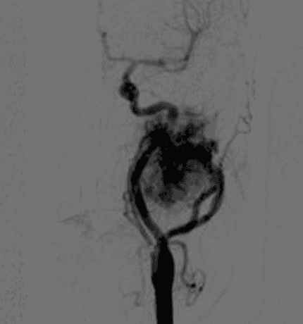
podemos encontrar una masa que separa la bifurcación carotidea y llegar al diagnóstico definitivo mediante ANGIOTAC, ANGIORM O ARTERIOGRAFÍA.
Una vez diagnosticado, debe realizarse la resección quirúrgica precoz. Es un tumor que a medida que evoluciona, crece envolviendo las estructuras vasculares y nerviosas vecinas, lo cual aumenta la dificultad para la resección y las posibles complicaciones y secuelas neurológicas.
Al ser un tumor muy vascularizado, es conveniente unos días previos a la resección quirúrgica, hacer una arteriografía selectiva de la bifurcación carotidea, localizar la o las arterias nutrientes del mismo y embolizarlas (ocluirlas). De esta maneras disminuimos la vascularización del tumor y la resección quirúrgica se facilita.
La resección de estos tumores las realizamos los cirujanos vasculares debido a la íntima unión del mismo con la bifurcación carotidea que en ocasiones hace necesario la resección en bloque y reconstrucción del eje carotideo mediante un by-pass.




CLASIFICACIÓN DE SHAMBLIN
Clasifica a los tumores según su grado de evolución.
Tipo I: El tumor está íntimamente unido a los vasos pero no los rodea.
Tipo II: los rodea.
Tipo III: Engloba a los vasos y nervios.
Tipo III: Engloba a la bifurcación pero muy localizado sin afectar a los nervios.